Nódulo cutáneo de feohifomicosis en una mujer joven
Resumen
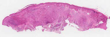
Se trata de una mujer de 28 años que, desde hacía cinco años, presentaba un nódulo asintomático de crecimiento lento y de 10 mm de diámetro en el muslo derecho, el cual clínicamente parecía corresponder a un dermatofibroma o a un queloide.
El nódulo se extirpó y la histopatología demostró prominentes granulomas dérmicos ricos en células gigantes, con ocasionales abscesos diminutos y con presencia de abundantes levaduras pigmentadas, de pared oscura, algunas en cadenas, e hifas tabicadas o septadas, de pared negruzca, que inicialmente sugirieron cromoblastomicosis. La abundancia de hifas moniliformes, en cadenas lineales, permitieron concluir que se trataba de una feohifomicosis cutánea, sin penetración a la hipodermis.
Se resaltan la cronicidad de la afección, su forma localizada y la prominencia de granulomas ricos en células gigantes, sin abundancia de abscesos. Se desconoce la evolución de la paciente ya que no regresó a control.
Descargas
Referencias bibliográficas
1. Rinaldi MG. Phaeohyphomycosis. Dermatol Clin 1996;14:147-53. https://doi.org/10.1016/s0733-8635(05)70335-1
2. De Hoog GS, Queiros-Tellez F, Haase G, Fernandez-Zeppenfeldt G, Angelis AT, et al. Black fungi: Clinical and pathogenic approaches. Med Mycol. 2000;38(Suppl.1):243-50.
3. Ajello L. Phaeohyphomycosis: Definition and etiology, Mycosis. Scientific publication No. 304. Washington, D.C.: Pan American Health Organization; 1986. p. 16-130.
4. Peltroche-Llacsahuanga H, Schnitzler N, Jentsch S, Platz A, De Hoog GS, Schweitzer KG, et al. Analyses of phagocytosis, evoked oxidative burst, and killing of black yeasts by human neutrophils: A tool for estimating their pathogenicity? Med Mycol 2003;41:7-14. https://doi.org/10.1080/mmy.41.1.7.14
5. Revankar SG. Phaeohyphomycosis. Infect Dis Clin North Am. 2006;20:609-20. https://doi.org/10.1016/j.idc.2006.06.004
6. Vitale RG, De Hoog GS. Molecular diversity, new species, and antifungal susceptibilities in the Exophiala spinifera clade. Med Mycol. 2002;40:545-56. https://doi.org/10.1080/mmy.40.6.545.556
7. Elias Costa MR, Da Silva Lacaz C, Kawasaki M, De Camargos ZP. Conventional versus molecular diagnostic tests. Med Mycol. 2000;38(Suppl.1):139-45.
8. Queiros-Tellez F, Nucci M, Lopes CA, Tobón A, Restrepo A. Mycoses of implantation in Latin America: An overview of epidemiology, clinical manifestations, diagnosis, and treatment. Med Mycol. 2011;49:225-36. https://doi.org/10.3109/13693786.2010.539631
9. Rippon JW. Faeohifomicosis. En: Tratado de Micología Médica. 3a edición. México, D. F.: McGraw Hill; 1990. p 321-49.
10. Bonifaz A. Micología Médica Básica. 2ª edición. México, D.F.: Méndez Editors; 2003.
11. Rodríguez-Toro G, Palencia Y. Esporotricosis. Valor diagnóstico del cuerpo asteroide. Biomédica. 1985;5:41-6. https://doi.org/10.7705/biomedica.v5i1-2.1900
12. Frasquet-Artés JS, Pemán J, Blanes M, Hernández-Porto M, Cano J, et al. Feohifomicosis cerebral: descripción de un caso y revisión de la literatura. Rev Iberoam Micol. 2014;31:197-202. https://doi.org/10.1016/j.riam.2012.12.008
13. Alayeto Ortega J, Alier Fabregó A, Puig Verdie L, Sorli Redo ML, Horcajada Gallego JP, Portillo Bordonabe ME. Feohifomicosis subcutánea causada por Phaeoacremonium parasiticum. Rev Iberoamer Micol. 2015;32:265-8. https://doi.org/10.1016/j.riam.2014.10.004
14. Scupsky H, Junkins-Hopkins J. Counterfeit pennies: Distinguishing chromoblastomycosis from phaeohyphomycotic infections. Am J. Dermatopatol. 2017;39:485-7. https://doi.org/10.1097/DAD.0000000000000679
15. Fariñas MC, Fernández-Sampedro M, Armiñanzas C. Formas clínicas y tratamiento de las infecciones causadas por otros hongos filamentosos. Enferm Infecc Microbiol Clin. 2012;30:414-9.
16. Feng P, Najafzadeh M, Sun J, Ahmed S, Xi L, de Hoog GS, et al. In vitro activities of nine antifungal drugs against 81 Phialophora and Cyphellophora isolates. Antimicrob Agents Chemother. 2012;56:6044-7. https://doi.org/10.1128/AAC.01112-12
Algunos artículos similares:
- Juan Manuel Senior, Clara Saldarriaga, Endocarditis infecciosa por Paecilomyces variotii , Biomédica: Vol. 29 Núm. 2 (2009)
- Guillermo Sánchez, John Nova, Confiabilidad y reproducibilidad de la escala de fototipos de Fitzpatrick antes y después de un ejercicio de estandarización clínica , Biomédica: Vol. 28 Núm. 4 (2008)
- Carolina Firacative, Germán Torres, María Claudia Rodríguez, Patricia Escandón, Primer aislamiento ambiental de Cryptococcus gattii de serotipo B, en Cúcuta, Colombia , Biomédica: Vol. 31 Núm. 1 (2011)
- Angélica Ballesteros, Sandra Beltrán, Jaime Patiño, Cynthia Bernal, Rocío Orduz, Paracoccidioidomicosis juvenil diseminada diagnosticada en una niña en área urbana , Biomédica: Vol. 34 Núm. 1 (2014)
- Natalia Osorio, Yúrika López, Juan Camilo Jaramillo, Histoplasmosis del sistema nervioso central en un paciente inmunocompetente , Biomédica: Vol. 34 Núm. 4 (2014)
- José Humberto Bravo, Andrés Mauricio Agudelo, Armando Cortés, Lorena Matta, Mucormicosis rino-órbito-cerebral de origen dental , Biomédica: Vol. 38 Núm. 1 (2018)
- John Fredy Nieto-Ríos, Douglas Ramón Villafañe-Bermúdez, Gustavo Adolfo Guerrero-Tinoco, Isabel Cristina Ramírez-Sánchez, Lina María Serna-Higuita, Arbey Aristizábal-Alzate, Catalina Ocampo-Kohn, Gabriel Varela, Gustavo Zuluaga-Valencia, Absceso cerebral por Cladophialophora bantiana en un paciente con trasplante renal: reporte de un caso , Biomédica: Vol. 39 Núm. Supl. 2 (2019): Enfermedades transmisibles en el trópico, agosto
- Jorge Alberto Cortés, José Franklin Ruiz, Lizeth Natalia Melgarejo-Moreno, Elkin V. Lemos, Candidemia en Colombia , Biomédica: Vol. 40 Núm. 1 (2020)
- Paola Macías , Juliana Ordóñez , Claudia M. Arenas , Gerzaín Rodríguez , Hombre de 18 años con síndrome verrugoso tropical: ¿leishmaniasis o esporotricosis? , Biomédica: Vol. 41 Núm. 2 (2021)
- Ana María Sanín , Ángela María Londoño , Verónica Gil , Ana María Mejía , Hernán Darío Aguirre, Elsa María Vásquez , Catalina Valencia , Carolina Cardona, Manifestaciones mucocutáneas y su relación con el recuento de linfocitos T CD4 en pacientes infectados con el virus de inmunodeficiencia humana hospitalizados en Medellín, Colombia , Biomédica: Vol. 42 Núm. 2 (2022)
Derechos de autor 2025 Biomédica

Esta obra está bajo una licencia internacional Creative Commons Atribución 4.0.
| Estadísticas de artículo | |
|---|---|
| Vistas de resúmenes | |
| Vistas de PDF | |
| Descargas de PDF | |
| Vistas de HTML | |
| Otras vistas | |










